Пневмония на КТ. Какие еще патологии выявляет компьютерная томография?

КТ – высокоинформативный метод лучевой диагностики, основанный на послойном сканировании изучаемой области. Толщина получаемых срезов – от 0,5 мм, что позволяет выявить заболевание на ранних стадиях, в том числе до проявления характерных симптомов. Диагностическая ценность компьютерной томографии основана на том, что она не только дает четкую картину той или иной структуры, но и возможность оценить состояние тканей, степень распространенности патологических изменений, точно определить локализацию самой патологии.

  Что выявляет компьютерная томография?

Компьютерная томография имеет обширнейший перечень показаний и назначается специалистами для постановки первичных диагнозов, уточнения уже существующих, а также в случаях, когда необходим контроль эффективности проводимого лечения.

Можно выделить несколько наиболее распространенных случаев, когда исследование с помощью КТ дает максимально точный результат.

Исследования головы

КТ головыБлагодаря способности рентгеновских лучей беспрепятственно проникать сквозь костные образования черепной коробки, КТ головы считается одним из наиболее точных видов диагностики различных патологии данной области.

Так, незаменима КТ при ишемическом и геморрагическом инсульте. На снимках хорошо видны гиподенсивные и гиперденсивные участки, характерные для таких нарушений. Особенно точные данные томография дает при ишемическом поражении полушарий, несколько хуже определяются инсульты задних структур мозга. Для повышения информативности сведений используется контрастное усиление. Геморрагические инсульты вследствие того, что ткани мозга наполняются кровью, видны на снимках очень четко, поэтому данная методика считается золотым стандартом диагностики этого заболевания.

Методика применяется для выявления любых нарушений кровоснабжения головного мозга (энцефалопатий), определения их природы и стадии. КТ-признаки сосудистой энцефалопатии:

Также КТ применяется для выявления воспалительных процессов структур головы и центральной нервной системы. На снимках можно увидеть гайморит, признаки отита, менингита, абсцессы, другие патологии.

Не менее эффективно компьютерная томография показала себя в обнаружении новообразований, в том числе злокачественных (глиома, астроцитома, невринома), доброкачественных (аденома, менингиома, эпендимома), сосудистых (гемангиома).

Назначается КТ и при травмах головы. Конечно, при обычном сотрясении столь дорогостоящий метод обследования используется нечасто, а вот при травмах, сопровождающихся повреждением костной ткани с образованием отломков, внутричерепными кровоизлияниями и другими тяжелыми последствиями, КТ незаменима.

Позвоночник

КТ позвоночного столбы часто выступает в качестве экспертного этапа диагностики после того, как выполнена рентгенография и другие, более доступные, исследования. В ходе сканирования визуализируются позвонки, межпозвонковые диски, спинномозговой канал, сосуды, частично ткани спинного мозга. Томография показывает грыжи, протрузии и другие дегенеративные процессы, переломы, аномалии строения, новообразования, сдавливания спинномозгового канала и сосудов. Также КТ покажет остеохондроз вне зависимости от участка его локализации, остеопороз, очаги воспаления, метастазы.

К видам КТ исследования позвоночника относят диагностику каждого из его участков в отдельности - шейного, грудного, пояснично-крестцового и копчика.

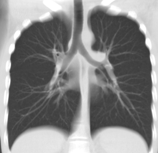
Органы дыхания

КТ легкихПоскольку КТ намного лучше других методик показывает состояние полых, наполненных воздухом или жидкостью структур, процедура очень эффективна при выявлении патологий органов дыхания (легких, трахеи, бронхов), а также окружающих тканей (сосудов, лимфоузлов). На снимках отображается полная картина пневмонии, что позволяет оценить степень поражения легочной ткани, локализацию патологических очагов.

Не менее четко видны признаки туберкулеза на КТ. Снимки дают возможность определить фазу процесса, характер изменений и их локализацию. В зависимости от разновидности (первичный, милиарный, диссеминированный, очаговый, инфильтративный, кавернозный, цирротический и пр.) туберкулез на КТ выглядит как единственное или множественные затемнения или напротив, более светлые участки с четкими или неровными границами. При описании снимков врачи лучевой диагностики указывают, какие именно выявлены образования (каверны, туберкуломы, инфильтраты и т.д.).

Хорошо определяет КТ признаки легочной гипертензии (на снимках выявляется расширение легочной артерии с одновременным ослаблением сосудистого рисунка), новообразования различной природы, инфекционные и неинфекционные (например, астма) заболевания, абсцессы, плевриты, жидкость в плевральной полости, эмфизему и другие патологии.

Внутренние органы

Компьютерная томография позволяет выявить причины лимфаденопатии, дисфункций и других нарушений, симптомы которых указывают на проблемы с внутренними органами. КТ визуализирует все структуры, в том числе глубокого расположения. Это особенно важно, если у пациента диагностирована или подозревается лимфома. В этом случае потребуется изучить лимфатические узлы средостения, легкие и ткани перикарда, исследования которых другими методами дают недостаточно полную информацию.

Также на снимках КТ хорошо видны признаки портальной гипертензии, кровотечения, новообразования, конкременты, воспаления, спайки и другие патологические состояния. Процедура позволяет оценить состояние протоков, магистральных и мелких сосудов, нервных сплетений, желез и других анатомических структур.

Кости скелета

На компьютерных томографах можно обследовать пациентов при переломах, особенно сложных и сопровождающихся образованием отломков и кровотечений. Обследование выявляет злокачественные опухоли костной ткани, дистрофические изменения, трещины, некрозы и иные патологии. На снимках видны мельчайшие изменения. К примеру, если рентгенография кисти показывает норму, КТ может найти признаки артрита, артроза, остиомиелита, остеофиты, участки неправильного сращения костей и пр.

  Может ли КТ ошибиться в диагнозе?

Этот вопрос волнует абсолютное большинство пациентов, направленных на компьютерную томографию. Стоит отметить, что диагностическая ценность КТ составляет 95-98%. Возможные ошибки и неточности связаны, не с самим методом (хотя качество изображений зависит от современности оборудования), а с трактовкой снимков, которую выполняют специалисты в области лучевой диагностики. Именно от их квалификации и объема знаний зависит, насколько точно будет поставлен диагноз.

Бояться ошибки не нужно, ведь результаты исследования записываются на электронный носитель, их всегда можно отправить на изучение независимым экспертам. Если вас направили на КТ, значит, это необходимо для определения заболевания и назначения максимально эффективного лечения. Все, что требуется от пациента – предупредить лечащего врача о существующих противопоказаниях. Так, нельзя делать КТ с миеломной болезнью, во время беременности, при наличии тяжелой почечной и сердечной недостаточности, сахарном диабете (для процедуры с контрастным усилением). 

Начиная разговор с оператором вы принимаете и соглашаетесь с условиями   Политики конфиденциальности   Публичной оферты