Что лучше МРТ или КТ?

В настоящее время наиболее информативными аппаратными методами обследования являются процедуры КТ и МРТ. На взгляд обывателя разница между ними только в стоимости — магнитно-резонансная томография может стоить на 1000-2000 рублей дороже компьютерной даже при обследовании одной и той же области.

Что лучше сделать, КТ или МРТ, какая процедура безопаснее?

  Чем отличается КТ от МРТ?

Прежде чем понять, чем отличается МРТ от компьютерной томографии, необходимо понять, что их объединяет. Оба увидеть метода позволяют четко визуализировать исследуемый орган в разрезе, выявить малейшее отклонение от нормы.

Отличия начинаются уже с принципов работы томографов. При МР-обследовании с применением радиочастотных импульсов используется мощное магнитное поле. Специальные датчики регистрируют изменения поведения атома водорода в этом поле, затем выводят их на компьютер.

В компьютерном томографе используется мощное рентген-излучение. После прохождения через тело пациента оно улавливается детекторами, которые отправляют данные на компьютер. По сути СКТ – это очень мощный рентген, который позволяет увидеть не только кости, но и мягкие ткани.

КТ или МРТЧем же еще отличается МРТ от СКТ? Тем, что томография с использованием магнитного поля чаще используется для диагностики мягких тканей, но очень плохо «видит» кости. Эта особенность широко используется при исследовании органов брюшной полости, малого таза. СКТ лучше визуализирует кости, полые органы и структуры, заполненные воздухом, поэтому его чаще назначают при патологиях опорно-двигательной системы и легких.

При обследовании многих органов бывает сложно решить, чем отличается катэ от МРТ, какой именно вариант будет информативнее. Скорее это две взаимодополняющие друг друга методики. При обычном переломе компьютерная томография четко покажет все нюансы смещения осколков, но когда травма сопровождается повреждением мягких тканей, связок, сухожилий, то здесь не обойтись без МРТ.

Отметим, что КТ и МРТ имеют разные противопоказания.

Что лучше МРТ или СКТ в каждом конкретном случае будет решать только лечащий врач. Несмотря на различия этих, казалось бы, похожих методов обследования, они оба остаются самыми информативными. Это помогает быстро поставить точный диагноз и не ошибиться в выборе лечения.

  МРТ или КТ — какое обследование точнее?

По достоверности результатов магнитно-резонансная томография и компьютерный скрининг практически одинаковы, но поскольку принцип сканирования различается, врач решает, какому методу отдать предпочтение на основании выявленных проблем.

МРТ или КТКакое обследование, КТ или МРТ, точнее позволит поставить диагноз, зависит от области локализации патологии и поражений органической структуры.

Голова

При обследовании головы КТ рекомендуется использовать:

МР-исследование дает лучшие результаты в следующих случаях:

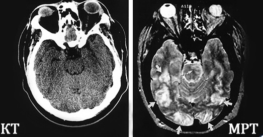
Обследование головного мозга также определяет, какая разница между КаТэ и МРТ. С помощью магнитного томографа определяют ишемический инсульт, новообразования, аномалии развития. А компьютерный томограф более эффективен при остром нарушении мозгового кровообращения по геморрагическому типу и свежих черепно-мозговых травмах. При патологиях сосудов МРТ имеет важное преимущество - для такого исследования не обязательно вводить контраст, в отличие от КТ.

Позвоночник

Если посмотреть фото, то отличие МРТ от КТ будет особенно бросаться в глаза при обследовании позвоночника. При компьютерной томографии лучше видны все отростки и изменения позвоночного столба. При магнитно-резонансном методе обследования будут визуализироваться грыжевые выпячивания и другие патологии.

Показаниями для КТ являются травмы позвоночника, разрушение межпозвонковых дисков, остеопороз, остеохондроз. При подозрении на наличие опухоли, оказывающей давление на спинной мозг, или на межпозвонковую грыжу, на воспалительные процессы, инфекционные заболевания, дистрофические процессы дают направление на МРТ. 

Внутренние органы, мягкие ткани, суставы, кости скелета

КТ визуализирует камни в желчных и мочевых протоках вне зависимости от характера конкрементов, а МРТ лишено этой возможности.

А вот на вопрос, что информативнее МСКТ или МРТ при поражении мягких тканей брюшной полости и забрюшинного пространства, можно смело ответить — МРТ. С помощью магнитно-резонансного скрининга можно получить четкие срезы органов при межпетлевых абсцессов, при панкреатите различной этиологии, кистах и опухолях, пороках развития органов, спаечной болезни. При последних проблемах магнитное сканирование с контрастом поможет визуализировать метастазы и спайки, степень их прорастания во внутренние органы и окружающие ткани.

С помощью МРТ можно точно установить стадию онкологических процессов, причину непроходимости кишечника, аневризмы аорты и ишемии внутренних органов. Также при этом обследовании точно визуализируют размеры органов, уточняют структуру мягких тканей, оценивают состояние желчных протоков.

Разрушение костной ткани или ее разрастание более достоверно показывает КТ, а новообразования в жировой клетчатке или патологии связочной системы — МРТ.

Можно подытожить: чтобы оценить состояние мягких и хрящевых тканей, желательно МРТ обследование, а костной — КТ. В случае наличия противопоказаний к той или другой процедуре, их можно заменять одну на другую.

Что вреднее МРТ или КТ?

Противопоказаниями к КТ являются все триместры беременности, если предстоит использовать введение контраста - аллергия на йод, заболевания щитовидной железы, нарушения функций почек и пр.

МРТ нельзя делать пациентам с металлическими имплантатами любого характера и татуировками, если в краске есть металлические включения, в первом триместре беременности. В качестве контраста при МРТ вводят соли гадолиния, которые менее аллергенны и легче переносятся пациентами.

Детям младшего возраста или пациентам, которые проходят лучевую терапию, рекомендуют делать МРТ — рентгеновское излучение обладает негативным влиянием на клетки, в отличие от него магнитное поле не несет лучевой нагрузки и не обладает тератогенным действием.

Что больше облучает, томография или рентген, указывает сам принцип обследования. При компьютерной томографии объемное сканирование возможно благодаря направленному пучку рентгеновских лучей, а при магнитно-резонансной — облучение отсутствует, т.к. снимки получают с помощью воздействия магнитного поля. 

Начиная разговор с оператором вы принимаете и соглашаетесь с условиями   Политики конфиденциальности   Публичной оферты