В некоторых случаях, например, при подозрении на новообразования и их дифференциальной диагностике, при рассеянном склерозе, сосудистых патологиях врач назначает МРТ с внутривенным контрастным усилением. Рассмотрим, что это за процедура и как ее проводят.
Контрастные препараты представляют собой хилатные соединения редкоземельного металла гадолиния, которые являются парамагнетиками и обеспечивают получение детальных снимков аномальных образований либо повреждений внутренних органов.

Соли гадолиния могут вводить перорально (очень редко), в полном объеме перед процедурой внутривенно или капельно (болюсно), через заранее установленный катетер.
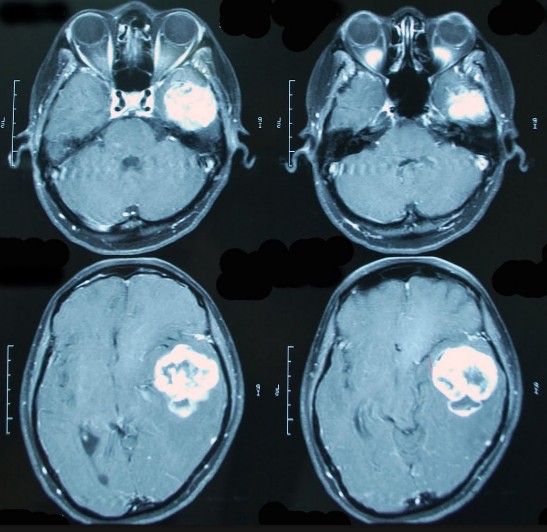
Наиболее точно и быстро поставить диагноз помогает МРТ с болюсным контрастированием – введение контрастного вещества проводят через интродюсер – внутривенный катетер, оснащенный клапаном. При болюсном томографическом обследовании улучшается обнаружение опухолей, что позволяет проводить дифференциальную диагностику для выявления здоровой и патологической тканей, для определения размеров опухоли и ее нового разрастания, а также возможных рецидивов после проведенного лечения.
Сначала проводят бесконтрастное сканирование, затем с помощью инжектора со скоростью 2-6 мг/сек вводят краситель и благодаря процедуре с проведением динамического внутривенного контрастирования более точно визуализируют состояние не только самих органов, но и окружающей их мягкой и костной ткани, стадию патологии, глубину поражения и врастание метастаз.
Введение контраста позволяет получить более точные данные по сравнению с информацией обычной МРТ в случаях воспалительных, опухолевых и демиелинизирующих заболеваний.
Контрастное вещество при томографии необходимо вводить при исследовании головного мозга в случае рассеянного склероза (чаще на аппаратах 3 Тл), иначе невозможно оценить изменения сосудов и стадии активности различных отделов мозга.
В большинстве случаев МРТ гипофиза проводят с внутривенным контрастированием, в противном случае могут быть не визуализированы аденомы и микроаденомы железы.
МРТ некоторых сосудов, например, отделов аорты, проводят также с внутривенным усилением.
Раствор контрастного препарата также применяют для перфузионных исследований: при выявлении очаговой ишемии мозга, а также в диагностике инсульта.
При подозрении на онкологический процесс рекомендуют делать МРТ мягких тканей и органов с контрастным усилением, так как иные методы не позволяют выявить наличие и характер новообразования и метастазов. Благодаря подобным обследованиям визуализируются опухоли, сразу же после расшифровки результатов можно точно определить этиологию процесса, состояние лимфосистемы и стенок сосудов, антисклеротические наслоения.
При отсутствии противопоказаний и в случае нормальных функций почек контрастное магнитно-резонансное обследование абсолютно безопасно, оно не вызывает никаких органических изменений. Введение препарата можно проводить неограниченное количество раз.
Отметим, что период полувыведения контрастных препаратов колеблется около часа, при этом в течение суток до 98% вещества полностью выводится из организма. При передозировке возможно усиление побочных эффектов, например:
Редко могут возникнуть зрительные нарушения, боли в груди, озноб, лихорадка, крапивница, зуд. Большинство этих реакций могут возникнуть в течение получаса-часа после введения вещества.
Что делать, если пациенту стало плохо после контраста? Необходимо расширить питьевой режим, могут быть назначены антигистаминные средства. У пациентов с нарушенной функцией почек или получившим большую дозу препарата контрастное вещество удаляется путем гемодиализа.
Нужно сказать, что аллергия на МРТ с контрастным веществом бывает крайне редко – из всех пациентов, которым вводят препарат для уточнения показателей сканирования, аллергические реакции возникают в 0,17% случаев.
Использование многих контрастных препаратов для новорожденных возрастом до 4 недель запрещено. У детей до 1 года функция почек еще недоразвита, поэтому контрастные препараты рекомендовано применять только после тщательной оценки соотношения риска и пользы и в специальнй дозировке. Также запрещается вводить более одной дозы за одно обследование. Некоторые препараты, например, "Омнискан", запрещается использовать повторно, если интервал между инъекциями составляет менее 7 дней.
Красители с гадолинием имеют период полувыведения около одного часа, но поскольку исследования показали, что незначительное количество контрастных препаратов в минимальном объеме (меньше 0,5% введенной дозы) выделяется с грудным молоком, кормление грудью рекомендуют прекращать на 24 часа после исследования.
Адреса и телефонов медицинских центров в СПб можно найти на данном сайте. Здесь же вы можете записаться на сканирование на удобное для себя время.
Отзывы о МРТ с контрастным веществом от пациентов говорят о легкой переносимости подобной томографии и безболезненности процедуры. Это является немаловажным фактором при обследовании детей.
Сканирование в сопровождении контраста – это наиболее востребованный метод, позволяющий диагностировать заболевание без дополнительного вреда для здоровья пациента.